糖尿病视网膜病变 付费文章

糖尿病视网膜病变的疾病概述与定义

2025年12月5日 123 阅读
糖尿病视网膜病变的疾病概述与定义

糖尿病视网膜病变听起来可怕,但只要我们科学认识、积极预防、规范治疗,完全可以把风险降到最低。 记住那句话:预防胜于治疗,早期发现胜于晚期抢救。 现在医学技术越来越发达,治疗糖尿病视网膜病变的方法也越来越多。 激光治疗、抗VEGF治疗、玻璃体切除术等都能有效控制病情发展。 但最好的治疗还是预防,让疾病不发生或者晚发生。 希望每位糖尿病朋友都能重视眼健康,从今天开始,从改变生活习惯开始,给自己的眼睛多一份关爱。

大家好,今天咱们来聊一个听起来有点吓人的话题——糖尿病视网膜病变

说它吓人,是因为这病可能让人失明,但别急着紧张,了解清楚了,就能有效预防

就像老话说的,知己知彼,百战不殆

课程一览

1. 糖尿病视网膜病变的定义

2. 增殖性与非增殖性病变

3. 糖尿病患者的发病率

4. 致盲风险与预防重要性

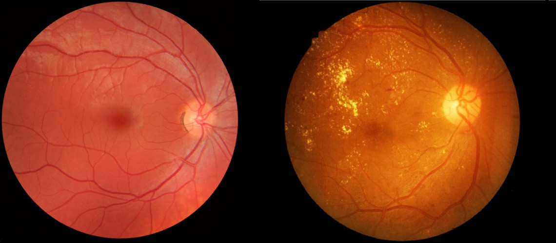
一、什么是糖尿病视网膜病变

简单来说,糖尿病视网膜病变就是高血糖这个"捣蛋鬼"在眼底搞破坏的结果

咱们的眼球就像个精密的照相机,视网膜是感光胶卷,上面布满了细如发丝的血管

当血糖长期居高不下时,这些小血管就会受到损伤,就像老房子的水管年久失修会漏水一样

血管一旦受损,就会出现渗血、渗液,严重的还会长出一些不该长的新血管

这些"坏血管"不但没用,还会拖后腿,搞得视网膜一片狼藉,最终影响视力

根据人民卫生出版社临床资料显示,糖尿病视网膜病变是糖尿病常见的慢性并发症之一,在美国是成年人致盲的首要原因,糖尿病患者致盲概率比非糖尿病患者高25

听起来挺可怕的,但咱别慌,后面会告诉大家怎么预防

二、增殖性与非增殖性病变的区别

糖尿病视网膜病变按严重程度分为两大类,就像感冒有轻有重一样

1、非增殖性糖尿病视网膜病变

这是早期阶段,可以说是"温和派"的病变

此时视网膜上出现一些小出血点、渗出物,就像脸上长了几颗小痘痘,看着不美观但还不至于毁容

这个阶段患者可能感觉不到明显症状,视力基本正常,但已经需要开始重视了

非增殖性病变又分为轻、中、重三个程度,就像考试有及格、良好、优秀一样

轻度的时候只有少数几个出血点,中度时出血增多,重度时已经相当严重,离增殖性病变只有一步之遥

2、增殖性糖尿病视网膜病变

这就是"激进派"了,病情已经相当严重

此时视网膜开始长出异常的新血管,听起来好像是好事,实际上这些新血管质量极差,就像豆腐渣工程,容易破裂出血

更糟糕的是,这些新血管还会带来纤维组织增生,就像伤口愈合时长出疤痕一样

如果纤维组织收缩,还可能导致视网膜脱离,这时候就真的危险了,可能造成严重视力损失甚至失明

根据临床数据,30岁以前发病的糖尿病(主要是1型糖尿病)中,71%会出现视网膜病变,其中11%会发展为增殖型;年龄较大的糖尿病患者(主要是2型糖尿病)中,39%会出现视网膜病变,3%会发展为增殖型

三、糖尿病患者的发病率情况

说到发病率,咱们先看看整体情况

中国是糖尿病大国,患者数量全球第一,预计到2040年将达到1.5亿人

这么庞大的基数,视网膜病变的问题自然不容小觑

根据上海市嘉定区的研究数据,全球范围内糖尿病视网膜病变的年发病率在2.2%12.7%之间,差异还挺大的

欧洲的研究显示,2型糖尿病患者的平均年发病率是4.6%,而美国多种族队列研究发现,8年累积发生率达到19.2%

国内的情况如何呢?北京地区2000年到2006年的追踪研究显示,年发病率为8.38‰,相对来说还算可控

但这个数字可能随着生活方式的变化而有所上升

影响发病率的因素有很多,主要包括:

1、病程长短 糖尿病时间越长,视网膜病变的风险越高

就像开车时间越长,车子磨损越严重一样

2、血糖控制情况 血糖控制好的患者,发病率明显更低

这就是为什么医生总强调控血糖的重要性

3、血压和血脂水平 高血压和血脂异常都会加重视网膜血管的负担,增加病变风险

4、年龄因素 年龄越大,血管老化越严重,抵抗力也会下降

5、遗传因素 有些人天生血管就比较脆弱,更容易出问题

四、致盲风险与预防重要性

糖尿病视网膜病变的致盲风险确实不容忽视

根据临床统计,它已经成为工作年龄人群视力障碍的首要原因之一

但这里要强调一点:早期发现,规范治疗,大多数患者都能保持较好的视力

1、致盲的主要原因

视网膜病变导致失明主要有几个机制:首先是黄斑水肿,黄斑是视网膜的中心区域,负责精细视觉,一旦水肿就会严重影响视力

其次是玻璃体出血,新生血管破裂后血液进入玻璃体腔,就像在透明玻璃上泼了墨汁

剩余内容为付费内容

成为会员即可解锁全部内容,享受更多专属权益

相关推荐