糖尿病视网膜病变 付费文章

糖尿病视网膜病变的临床表现与症状

2025年12月9日 112 阅读
糖尿病视网膜病变的临床表现与症状

朋友们,你们知道吗,糖尿病除了让人担心血糖飙升,还有一个更可怕的"隐形杀手"——糖尿病视网膜病变。 这个听起来就让人头大的疾病,正悄悄地威胁着全国数千万糖尿病患者的"心灵之窗"。

根据中华医学会眼科学分会最新数据显示,糖尿病视网膜病变已成为工作年龄人群首位的致盲眼病

想象一下,原本明亮的世界可能因为这个疾病而逐渐模糊,甚至完全黑暗,这种恐惧感是不是比看恐怖片还要刺激?

更让人无奈的是,我国20岁以上成年人糖尿病患病率已达9.7%,糖尿病患者总数高达9240万人

这意味着什么?意味着几乎每10个成年人中就有1个糖尿病患者,而他们中的大部分人都面临着视网膜病变的潜在威胁

这可不是开玩笑的,这是实实在在的健康危机

今天,我们就来聊聊这个"视力小偷"是怎么一步步偷走我们光明的,以及我们该如何与它斗智斗勇

课程一览

1. 早期无症状期的特点

2. 中期视力下降与飞蚊症

3. 晚期视野缺损与失明

4. 黄斑水肿的症状表现

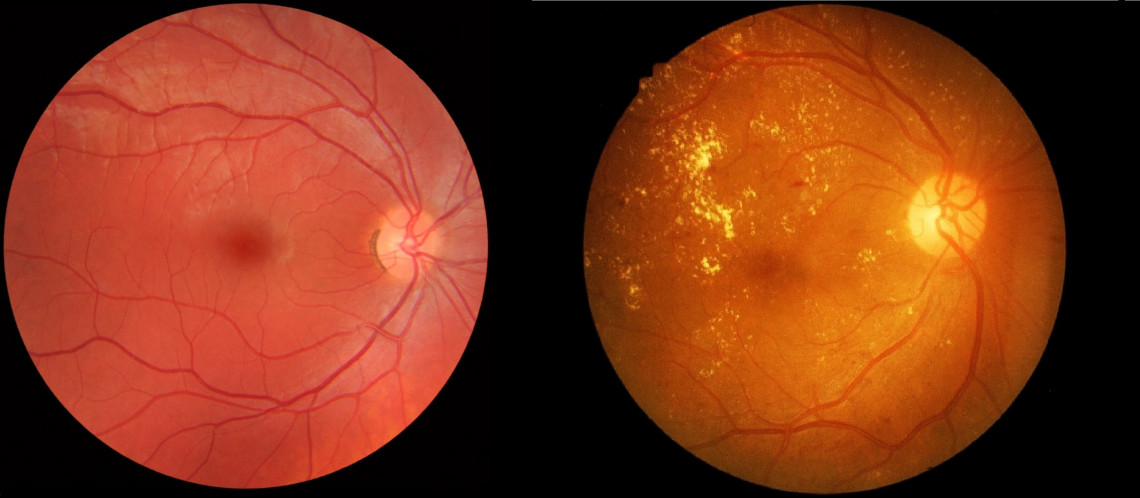
一、早期无症状期的特点

说到糖尿病视网膜病变的早期,用"静悄悄"来形容再合适不过了

就像小偷摸黑作案一样,这个疾病在初期阶段几乎不会发出任何"警报"

1、隐匿性发病过程

早期的糖尿病视网膜病变就像一个"伪装高手",患者通常没有任何自觉症状

视力依然清晰,看远看近都没问题,连最挑剔的体检都可能"蒙混过关"

这就是为什么很多患者会说:"我看东西好好的啊,怎么可能有眼病?"

根据首都医科大学附属北京友谊医院的专家介绍,早期"糖网"可以没有症状,没有明显的"痛苦"

这种无症状期可能持续数年之久,而在这段时间里,视网膜的微血管已经开始悄悄发生病理性改变

2、微血管的早期改变

虽然患者感觉不到异常,但此时眼底已经开始上演一出"生化危机"

长期的高血糖就像一把无形的刀子,慢慢切割着视网膜的微血管壁

血管壁变得脆弱,通透性增加,血液中的成分开始"越界"渗透到不该去的地方

这个阶段最典型的改变就是微动脉瘤的出现

什么是微动脉瘤?简单来说,就是微血管壁上长出的小"泡泡",像被吹大的气球一样

这些小泡泡虽然看起来不起眼,但却是疾病进展的重要标志

3、定期检查的重要性

正因为早期没有症状,所以定期眼底检查就显得格外重要

就像汽车需要定期保养一样,我们的眼睛也需要定期"体检"

医生建议,糖尿病患者应该每年至少进行一次眼底检查,高危患者甚至需要每6个月检查一次

这里给大家一个小建议:把眼底检查当成一种生活习惯,就像每天刷牙一样自然

毕竟,发现得越早,治疗效果就越好,保住视力的希望也就越大

二、中期视力下降与飞蚊症

当疾病进入中期阶段,那些早期的"伪装"开始逐渐露出破绽

这时候,患者开始感受到一些不太对劲的地方,就像身体在发出求救信号一样

1、视力模糊的渐进过程

中期糖尿病视网膜病变最典型的症状就是视力下降

但这种下降不像近视那样突然,而是一个渐进的过程

患者可能会发现,原本看得清楚的书上小字开始变得模糊,看电视时需要眯着眼睛,开车时对路标的识别变得困难

这种视力下降往往是波动性的,有时好一些,有时坏一些,就像股票市场一样起起伏伏

很多患者会误以为是用眼疲劳或者老花眼,从而错过了最佳治疗时机

2、飞蚊症的出现与特点

飞蚊症是中期阶段另一个常见症状

患者会看到眼前有小黑点或者丝状物飘动,就像有小蚊子在眼前飞舞一样

这些"小蚊子"会跟着眼球转动而移动,在明亮的背景下更加明显

有趣的是,每个人描述飞蚊症的感受都不太一样

有人说像头发丝,有人说像小虫子,还有人说像云朵

不管怎么描述,一旦出现这种症状,就说明玻璃体内已经有了异常的漂浮物,需要引起足够重视

3、阅读困难与夜间视力问题

随着病情发展,患者还可能出现阅读困难的情况

原本轻松就能看完的报纸,现在需要拿得很近才能看清,或者需要更强的光线

有些患者反映,晚上看电视或者在昏暗环境下活动变得特别困难,就像眼睛突然"下班"了一样

这种症状的出现,往往意味着黄斑区已经开始受到影响

黄斑是我们视觉最敏锐的部位,一旦受损,影响的不仅仅是视力的清晰度,还有色彩的感知和精细视觉的功能

三、晚期视野缺损与失明

当疾病发展到晚期阶段,情况就变得相当严峻了

这时候的症状已经不再隐匿,而是大张旗鼓地向患者"宣战"

1、视野缺损的表现形式

晚期糖尿病视网膜病变最让人恐惧的症状之一就是视野缺损

什么是视野缺损?简单来说,就是眼睛看到的范围变小了,就像透过管子看世界一样

患者可能会发现,走路时经常撞到旁边的物体,因为余光看不到;开车时容易发生交通事故,因为看不见从侧面驶来的车辆;甚至在家里也会经常磕磕碰碰,因为视觉范围大大缩小了

视野缺损通常是不规则的,有些是从周边开始,有些是中央出现黑洞

每个人的情况都不一样,但共同点是都会严重影响日常生活质量

2、增殖性病变的危害

晚期阶段最可怕的是

剩余内容为付费内容

成为会员即可解锁全部内容,享受更多专属权益

相关推荐