报告解读 付费文章

职业暴露与肺部损伤:尘肺病的胸部影像报告(ILO分类)解读与环境控制、肺康复干预

2026年3月14日 175 阅读
职业暴露与肺部损伤:尘肺病的胸部影像报告(ILO分类)解读与环境控制、肺康复干预

当肺变成了"石头"

各位朋友,今天咱们要聊一个可能让你呼吸越来越困难、咳嗽不止、胸闷气短、甚至咳出黑痰的严重职业病——尘肺病(Pneumoconiosis)。

先给大家打个比方:你的肺就像一个"海绵",负责吸入氧气、呼出二氧化碳。正常情况下,肺泡(气体交换的"小房间")柔软、有弹性,气体自由进出。

可是长期吸入粉尘(如矽尘、煤尘、石棉)的工人,这些粉尘就像"石头碎屑",沉积在肺里,无法排出。身体试图"清理"这些"异物",启动炎症反应,但粉尘太顽固,最终导致肺组织纤维化——肺泡被疤痕组织取代,肺变得又硬又僵,就像"海绵"变成了"石头"

结果,气体交换能力大幅下降,你就会呼吸困难、缺氧、丧失劳动能力......

这就是尘肺病!

根据世界卫生组织(WHO)和国际劳工组织(ILO)的数据:

尘肺病是最常见、危害最严重的职业病

全球每年新发病例数十万

在中国,尘肺病占职业病的80%以上

2019年中国报告新发尘肺病例约1.5万例(实际可能更多,因漏报)

尘肺病是不可逆的、进行性的疾病

好消息是:

尘肺病可以预防(职业防护)

早期发现、脱离粉尘环境可以延缓进展

通过肺康复、氧疗可以改善生活质量

坏消息是:

尘肺病无法治愈、不可逆

即使脱离粉尘环境,病情仍可能进展

晚期可导致呼吸衰竭、心力衰竭、死亡

严重影响生活质量和寿命

今天这篇文章,就是要教你读懂ILO分类的胸片报告、理解肺功能检查、掌握肺康复训练、学会家庭氧疗,让尘肺病患者在这场"肺部保卫战"中,科学管理、延缓进展、改善生活质量!

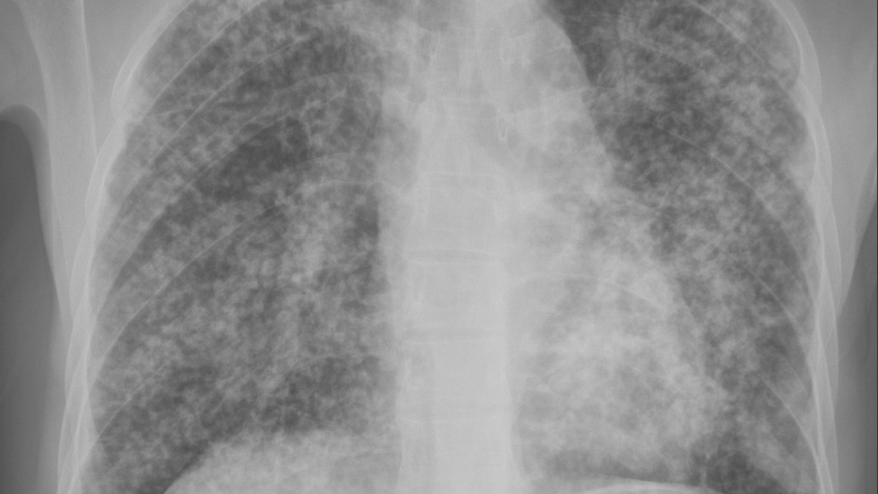
核心指标解读——给肺部"拍照"

胸部影像学检查:ILO分类的"读片密码"

ILOInternational Labour Organization,国际劳工组织)尘肺病影像学分类:

国际标准

用于评估尘肺病严重程度

基于胸部X光片或高分辨率CTHRCT

ILO分类评估的内容:

1. 小阴影(Small Opacities):

尘肺病的早期表现

粉尘沉积引起的小结节、网状影

密度(Profusion):

评估小阴影的数量/密集程度

分为4个大类、12个小类:

0/-:无尘肺

0/0:无尘肺

0/1:可疑尘肺

1/01/11/2期尘肺

2/12/22/3期尘肺

3/23/33/+期尘肺

分期意义:

期:小阴影少量,肺功能可能正常或轻度下降

期:小阴影中等量,肺功能中度下降

期:小阴影大量,肺功能重度下降

形状和大小:

圆形:p(直径<1.5 mm)、q1.5-3 mm)、r3-10 mm

不规则形:stu

矽肺多为圆形

石棉肺多为不规则形

分布:

上、中、下肺区

2. 大阴影(Large Opacities):

尘肺病晚期表现

大块纤维化(Progressive Massive Fibrosis, PMF

分类:

A类:单个大阴影长径1-5 cm,或多个大阴影总和<5 cm

B类:单个或多个大阴影,总面积不超过右上肺区面积

C类:大阴影总面积>右上肺区面积

意义:

大阴影出现病情重、预后差

常伴严重呼吸功能障碍

3. 胸膜异常:

胸膜增厚、胸膜斑

石棉肺常见

职业史:诊断的"钥匙"

尘肺病诊断必须有:

明确的职业粉尘暴露史

高危职业:

矿山开采(煤矿、金属矿)

隧道施工

石材加工(切割、打磨)

铸造

喷砂、打磨

石棉生产、使用

陶瓷、水泥生产

暴露时间:

通常需要数年至数十年

但高浓度暴露可能数月至数年即发病

肺功能检查:呼吸能力的"评分卡"

FEV1(第一秒用力呼气容积):

深吸气后用力呼气,第一秒呼出的气体容积

正常值:

FEV1%预计值≥80%

尘肺病患者:

早期:肺功能可能正常

进展后:

限制性通气功能障碍:肺纤维化肺容积减小→FEV1FVC都下降

阻塞性通气功能障碍:合并慢阻肺、支气管炎

FEV1降低的意义:

评估呼吸功能障碍严重程度

FEV1<50%预计值:重度障碍

指导治疗(如是否需要氧疗)

劳动能力鉴定

FVC(用力肺活量):

深吸气后用力呼出的总气体容积

尘肺病:FVC下降

DLCO(弥散功能):

气体从肺泡进入血液的能力

尘肺病:DLCO下降(肺泡-毛细血管膜纤维化)

动脉血气分析

PaO2(动脉血氧分压):

正常:80-100 mmHg

尘肺病晚期:<60 mmHg(呼吸衰竭)

PaCO2(动脉血二氧化碳分压):

正常:35-45 mmHg

晚期可升高(呼吸衰竭型)

尘肺病诊断标准(中国)

必须满足:

明确的职业粉尘暴露史

胸部影像学检查符合尘肺病改变(ILO分类≥1期)

排除其他肺部疾病(如肺结核、肺癌、肺炎)

分期:

期(壹期):小阴影密度1

期(贰期):小阴影密度2

期(叁期):小阴影密度3级或出现大阴影

误区澄清——那些关于尘肺病的"致命误解"

误区一:"换个环境就能恢复"

错!尘肺病是不可逆的!

真相:

粉尘一旦沉积在肺内,无法清除

纤维化的肺组织无法恢复

即使脱离粉尘环境,病情仍可能进展

为什么脱离粉尘后还进展?

剩余内容为付费内容

成为会员即可解锁全部内容,享受更多专属权益

相关推荐